忍者ブログ
オリジナル小説『森羅万象の子』の裏話や、日々の独り言などをつらつらと。
[5] [6] [7] [8] [9] [10] [11] [12] [13] [14] [15
×

[PR]上記の広告は3ヶ月以上新規記事投稿のないブログに表示されています。新しい記事を書く事で広告が消えます。

簡易版に第二章の前編アップしました~。

携帯で見られるようにと作った簡易版ですが、
非常に見づらいですね!!

また時間があるときにでも小分けにしようかと思います。

拍手[0回]

PR

そう言えば、一度写真を載せたっきり何も載せてないな~
と思って写真を載せます!

全然本編小説とは関係ないですが、
自己紹介やバトンに書いた顕微鏡に食いついてくれた方がいらっしゃったので、
趣味の顕微鏡の写真を載せてみますね。

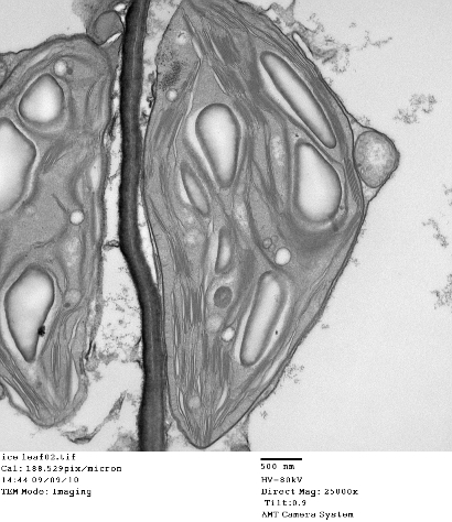
植物細胞の電子顕微鏡の写真で~す♪

chloroplast.jpg















植物の葉緑体ですよ~。
あの緑色の正体です!
光合成をして、でんぷんを作ります。
けっこう大きい白い塊がたくさん見えますが、それがでんぷんです!

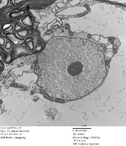
nucleus001.jpg















↑これが核です~。
DNAが詰まってます。
DNAはタンパク質の設計図みたいなものです。

私たちの細胞にもあるこの核なんですが、
実は二重の膜でできてるんですよ。
それが分かる証拠がこれでっす!↓↓↓

nucleus.jpg















膜の断面です。
二重の線が見えますねぇ。ふふふ。
やっぱり理論ばかりじゃなく、見てみないとね☆

こんなのを
ひたすら三時間覗いていた夏休み。
いやぁ、良い思い出だ!
めちゃくちゃ疲れましたが。
見るのにサンプル作りから始めて4日かかりました!
ちなみにこれを見る顕微鏡がこちらです。↓

denken.jpg

















まるでコックピットのようです。(笑)

光で見ないで電子で見るので白黒ですが、
いつか免疫染色した蛍光顕微鏡写真をご紹介したいです。
蛍光発色しているので、それはもう綺麗なんですよ!!
実体顕微鏡の綺麗な写真もあるので、またできればご紹介します☆


……長々とkoyoの趣味にお付き合いいただきありがとうございました。
『森羅万象の子』では広い世界を見ているので、
たまにはこういう極小の世界も覗いてみると面白いよ☆
っていうまとめで締めくくろうと思います。(無理矢理)

それでは、気を取り直してMOREよりお返事です!

拍手[3回]

お世話になっております詠一様よりバトンをいただきましたので、
やってみました!!!
小説本編とは関係なく、サイト管理者に関する質問が多いバトンです。
そのため、koyoについての内容になりますね~。

作者はミステリアスな方が物語に没頭できます!
という方もいるかもしれないので、MOREに収納します。
見たい方はMOREをクリックで表示されます☆

 

拍手[1回]


第二章のあとがきです。
がっつりネタばれしてますので、
まだ二章を読んでいない方は読まないで下さいね☆

下のMOREクリックであとがきが表示されます!

拍手[1回]

アンケート結果により、横書きの方がよいという方がおられましたのと、
手軽に携帯からも読めた方が良いのではないかという考えから、
携帯からも読めるように記事を調節し、『簡易版』として本編を掲載しました。

あくまで簡易版ですので、定期更新はPDF版で行います。
そこである程度たまってきたら、簡易版にアップするという方式です。

小説のいいところは、どこでも持ち歩けて、ページを開けばどこにいても小説の世界に入り込めること。
その手軽さが文字の表現の良いところなんですよね。
これまで自分の断固たる意思でPDFのみで縦書きを重んじていましたが、
(もちろん今でも重んじていますが)
横書きにすることでもっと多くの人が楽しんでくれるのなら、それでもいいかな、と思い横書きを掲載することにしました。
字体や縦書き横書きにも屈しない表現力が、私の紡ぐ文字にあることを願っております。

しかし、レンタルしている忍者TOOLSのアクセス解析のことなんですが、
これはPCから見るとただの忍者TOOLSのバナーなんですが、
携帯で見ると18禁広告が堂々と掲載されてしまうんですよね…。
もう最悪です…。
とりあえずレンタル先の忍者TOOLSさんの目安箱にて対応策をお願いしてきましたが、
他の人もかなり粘ってお願いしているにもかかわらず、なかなか忍者TOOLSさんの重い腰が上がらないんですよね。
ホント困ります…。
今では小学生も中学生も自由にインターネットを使える時代だというのに、
18禁でないサイトにも18禁広告を載せるというのはゆゆしき事態と思います。

しばらくしても忍者TOOLSさんから対応策が講じられなければ、こちらでなんとかしたいと思います。
ご気分を悪くされる方もいるかもしれませんが、しばしお待ちくださいませ。

拍手[0回]

前のページ      次のページ
↓こちらが本家です↓

◎長編小説連載中◎
プロフィール
HN:
Koyo
HP:
性別:
非公開
趣味:
顕微鏡・小説書き
自己紹介:
作家を目指して小説を書いています。
ネットで発表する場があってもいいのではないかと思い、オリジナル長編小説『森羅万象の子』を細々と別サイトで発表しています。
そちらもどうぞご覧ください。
P R
カレンダー
03 2026/04 05
S M T W T F S
1 2 3 4
5 6 7 8 9 10 11
12 13 14 15 16 17 18
19 20 21 22 23 24 25
26 27 28 29 30
フリーエリア
Copyright ©   Think aloud to the world   All Rights Reserved
Design by MMIT simple_plain Powered by NINJA TOOLS
忍者ブログ [PR]